science
The results of the 6th call for applications for the ‘UG Visiting Professors’ programme are now known. This year, thanks to funding under this programme, fifteen researchers from thirteen countries around the world will visit our university! The visits will take place in ten faculties and units of the University of Gdańsk. ‘UG Visiting Professors’ is a programme created as part of the ‘Excellence Initiative - Research…
science
Two researchers from the University of Gdańsk will travel to the United States as part of the Fulbright STEM Impact Award grant programme. In the 2025/2026 recruitment process, grants were awarded to eight people in Poland. The Fulbright STEM Impact Award is a scholarship programme for researchers representing STEM (science, technology, engineering, mathematics) fields employed at Polish academic and scientific…
social responsibility of science
„Równowaga. Prokobieca firma roku” to konkurs promujący polskie przedsiębiorstwa, organizacje pozarządowe i instytucje publiczne, które tworzą środowisko pracy równe dla wszystkich, bez względu na płeć. Wyróżnia te organizacje, w których polityki równości idą w parze z realnymi działaniami wspierającymi równość i równowagę w miejscu pracy. Uniwersytet Gdański uzyskał jedną z trzech nominacji w kategorii instytucja…
science
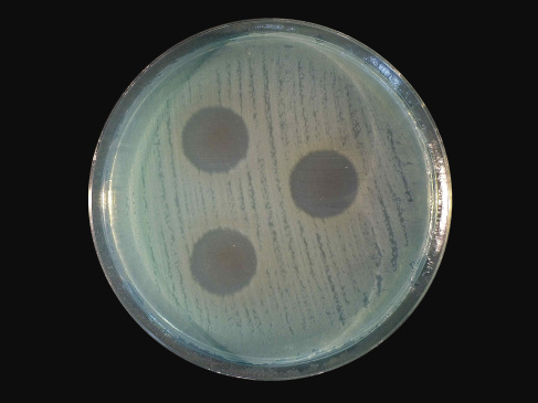
Researchers from the Intercollegiate Faculty of Biotechnology UG and MUG have published a paper that sheds new light on how bacteria interact with each other in the natural environment. The article, authored by prof. Robert Czajkowski's team, appeared in the prestigious journal ISME Communications, one of the leading international periodicals devoted…
science
The results of the Mieczysław Bekker Scholarship Programme (Bekker NAWA) for 2025 are now known. Among those selected to receive funding for research trips abroad are three scientists from the University of Gdańsk. Dr hab. Maria Kaźmierczak, prof. UG, will undertake a three-month research internship at Ghent University in Belgium, where she will…
science
An innovative agent combating antibiotic-resistant bacteria, Pseudomonas aeruginosa (blue pus bacillus), based on the synergy of naphthoquinone and silver nanoparticles, has been granted patent protection by the Polish Patent Office. The invention was developed by scientists from the Intercollegiate Faculty of Biotechnology UG and MUG, the Faculty of…
conferences
This year's 11th International Living Knowledge Conference (under the slogan ‘Research and Solidarity’), focused on participatory research, socially engaged research and citizen science, will be held in Gdańsk! The event will take place on 8-10 July 2026 at the University of Gdańsk UG Library. Proposals for presentations can be submitted until 31 January this year…
science
The leading ranking agency Times Higher Education has published the results of its global subject rankings - World University Rankings 2026 by Subject - for eleven subjects. The University of Gdańsk was listed in nine rankings - all those in which it was possible to apply for an assessment due to the university's profile. Our University was…
conferences
We know the results of the competition for conference funding by the Fahrenheit Universities in 2026. A total of 16 applications were submitted, of which six have been selected for funding.  List of conferences to receive funding: The 6th Gdańsk Health Days Conference, aimed at presenting current directions in the development…
sea-eu
The University of Gdańsk invites researchers to participate in the SEA-EU Research Potential Database competition, which aims to encourage the establishment or strengthening of scientific, research and teaching cooperation between SEA-EU partner universities using information available in the Research Potential Database, created as part of the project…
science
Bone fractures are becoming an increasing health risk in a rapidly ageing society. In response to this challenge, the BONEFILL project was created, which aims to develop bioactive, injectable bone fillers that closely mimic the natural composition of bone, with the aim of accelerating the regeneration of small bone defects and reducing post-operative complications. The project is led by Dr Aneta Szymańska, prof. dr hab…
academic life
‘Dear guests, we have so many events that we ran out of space for the information stand!’ - these were the first words on the website with the programme of events for Biologists' Night at the Faculty of Biology of the University of Gdańsk. There were also plenty of attractions waiting at the nearby Intercollegiate Faculty of Biotechnology UG and MUG,…
science
The Gdańsk Branch of the PAS has announced a call for applications for the 11th edition of the annual Gdańsk Branch of the PAS Award for Young Scientists. The award will be granted for the best scientific publication of 2025, whose lead author is an employee or doctoral student of a scientific institution (including a university) from the Pomeranian,…
social responsibility of science
It may seem that the world around us is silent - nothing could be further from the truth! Looking closely, you can discover that everything is shouting, sending signals, wanting to communicate something. From cells, through the plant world, to animals - everything wants to convey something, signal something and read something! Don't believe it? Come to…
science
During the first meeting of the Fahrenheit Union of Universities in Gdańsk in the new year, the FarU Award was presented for a grassroots initiative that has had an impact on the communities of three universities and is sustainable in nature. The award went to an inter-university team whose innovative method, based on basic research in…
academic life
UG Retro Party - in Polish called 'Domówka UG', meaning UG Houseparty - is a carnival gathering of our community inspired by the atmosphere and memories of Polish house parties and private get-togethers from the 1970s and 1980s. We are bringing back the joy of being together in the relaxed atmosphere of social gatherings from years gone by: without rushing and screens, but with dancing fun at its best, good music and…
science
Dr Alicja Mikołajczyk from the Faculty of Chemistry has been named (as the only Polish candidate) among 60 young researchers from around the world in the LUSH PRIZE 2026 competition in the Young Scientists category. The Lush Prize is the world's largest prize fund working to end the use of animals in research, testing and education. Her research is…
sea-eu
Internationally, together, and with sweet treats - that's how we will start celebrating the SEA-EU alliance's birthday on 20 January at 11:30 a.m.! We invite students of the University of Gdańsk to the Welcome Centre in the UG Library. During the event, you will learn about opportunities for foreign trips for UG students, hear about the experiences of…
science
We present the profile of another winner of the National Science Centre's OPUS 29 competition: dr inż. Emilia Gontarek-Castro from the Faculty of Chemistry, whose project ‘Nature-Inspired, Biodegradable and Fluorine-Free Membranes: Toward Sustainable Water Treatment Without Compromising Performance’ received funding in the amount of PLN 1,715,686.00.   Dr inż. Emilia Gontarek-Castro…
culture
The University of Gdańsk UG Library collects more than just books. Among the treasures that can be found in the Special Collections Department is a collection of posters, which has been growing since the 1980s. Part of this collection will be presented at the exhibition ‘Fleeting Things - the Polish School of Poster Art in the Special Collections of…
academic life
Prof. dr hab. Anna Mazurkiewicz from the Faculty of History and prof. dr hab. Adam Sokołowski from the Faculty of Oceanography and Geography received their professorial appointments from the President of Poland, Karol Nawrocki. The ceremony, which took place on 7 January 2026 at the Presidential Palace, was the first such event in the new year. A total of 112 professors from all over Poland received nominations…
science
We present the profile of another winner of the National Science Centre's OPUS 29 competition: dr Estera Rintz from the Faculty of Biology, whose project ‘Molecular pathogenesis and precise therapy with antisense oligonucleotides in type 6 myofibrillar myopathy associated with mutations in the BAG3 gene using mouse and cell models’ received funding in the amount of PLN 3,099,900.00.   Dr Estera Rintz…
culture
Are you a student of Film and Audiovisual Culture or Audiovisual Production? Would you like to realise your idea, but are held back by a lack of funds? Take part in the competition for funding for student films in the 2025/2026 academic year and reach for your dreams. What conditions must be met and what formalities must be completed in order to…
science
Archaeological Sensations 2025. Vote for the achievements of UG scientists An article about priestesses and the cult of the goddess Ceres in the region of ancient Musti (el-Krib, northern Tunisia), an area called ‘The Great Fields’ by the Romans (Campi Magni), co-authored by scientists from the University of Gdańsk (dr Karol Kłodziński - lead author…
science
Kinga Hoszek-Mandera, a student at the University of Gdańsk, and Esther Wilhelm, a student at the University of Algarve, have begun a two-month research internship in Antarctica as part of the ICEPACT project (funded by the NAWA Strategic Partnerships programme)! The interns have safely arrived on Nelson Island, where, under the supervision of…
science
We present another winner of the National Science Centre's OPUS 29 competition: prof. dr hab. Hanna Mazur-Marzec from the Faculty of Oceanography and Geography, whose project An interdisciplinary approach to understanding the diversity, physiology and toxicity of Prymnesium parvum received funding in the amount of PLN 5,418,751.00 (including PLN 2,272,300.00 for the University of Gdańsk). Prof. Hanna Mazur-Marzec…
science
We present the profile of another winner of the National Science Centre's OPUS 29 competition: dr Julia Możdżeń from the Faculty of History, whose project ‘The history and fate of the Berlin collection. The development of old prints from preserved collections from the University Library in Toruń’ received funding in the amount of PLN 1,056,473.00 (including PLN 430,029.00 for the University of Gdańsk).   dr Julia…
sport
The second ASA Academic League Final Four in history is now behind us. During the competition, which took place on 12-14 December 2025 in Krakow, the volleyball players of JohnnyBros ASA University of Gdańsk achieved historic success, winning gold medals! Coach Adam Miotek's players did not lose a single match during the qualifiers. In order to reach…
science
The University of Gdańsk is consistently developing its HR Excellence in Research (HRS4R) strategy as a key tool supporting the development of academic careers in the dynamically changing European Research Area. The update of the HRS4R strategy at the University of Gdańsk clearly links human resource management activities with the principles of the…
science
We present the profile of another winner of the National Science Centre's OPUS 29 competition: dr hab. inż. Aneta Lewkowicz, prof. UG from the Faculty of Law and Administration, whose project ‘Molecular investigation of touch traces: an innovative method for the analysis of DNA and dactyloscopic traces (Jigsaw ID) in the context of mass disaster identification and forensic thanatology’ received funding of PLN 2,252,400…